Mint Dental Centre, 41 Clapham Road, Oval, London SW9 0JD

Dental Hygiene in London

Patient Experiences
Mint Dental Centre £ London 020 7587 0100 Mint Dental Centre
5 5 1

The hygienist I see at this practice is lovely, always ensuring that I am comfortable and how to alert her if I am not. Very friendly and professional!

Dental Hygienist
Endrina Obrador

Dental Hygienist
National Diploma in Dental Nursing NEBDN 2018
GDC No. 279207

We are proud to introduce Endrina as one of our most popular and enthusiastic members of our Dental Hygiene team. She is especially kind and gentle and is keen to listen, and successfully treat patients with any type of Dental Hygiene requirements no matter how mild or moderate the case.

She fully graduated as a Dental Hygienist in 2015 in Spain. She studied Dental Nursing in the UK in 2018 and has shown a keen interest in the Dental field for almost 10 years. She is currently offering the best of both oral health education and Hygiene treatments including Teeth Whitening and Air Polishing.

Languages: English /Spanish/Portuguese

“VISIT OUR IN HOUSE HYGIENIST TO REFRESH YOUR MINT SMILE…!”

NOW OPEN 7 DAYS A WEEK

Hygienist now open Saturdays and Sundays!

Call 020 75870100 today for an instant freshen up!

Super Clean:

Just £85.00 for a half hour session this regular maintenance treatment is great value for money combining a clean and polish tailored oral hygiene advice and gum health check to keep your breath fresh and your smile sparkling!

Ultra Clean:

AIR JET WASH featuring HIGH GLOSS DIAMOND PASTE JUST £135

Air jet wash: with this sensational system our hygienist applies a gentle air jet followed by a high gloss diamond polish it is completely painless and highly effective in removing deep stains returning your teeth to their original gleaming state.

Air Flow Advanced Smokers Clean:

Advanced Smokers Clean £160

We understand that smoking can cause teeth to build up stains including tartar that are more difficult to remove than regular cleaning allows. That’s why we’ve introduced an Advanced Smokers Clean to remove the tartar build up and help return your pearly whites to their original sparkly colour! We use a triple Clean of Ultra sonic cleaner, Air jet and Glossy diamond paste polish to help restore your original confident sparkle !

Dental Hygienist also available weekdays and Saturdays

Easy Finance Option

Why not spread the payments of your new winning smile so you can smile confidently today without having to worry about immediate costs by using our highly popular Easy Finance Option calculator.

Having a fantastic relationship with our Finance Company we can offer

Life Changing Beautiful Smiles for less than the price of your daily coffee ☕!

“A beautiful smile can literally cost just a few pounds a day with our brilliant Finance plan !”

Call us today to see how 020 75870100 or book online for a Check up appointment

Mint Dental Centre £ London 020 7587 0100 Mint Dental Centre
5 5 1

More than a scale and polish the sensational air jet was system brilliantly gives you an instantly whiter smile without bleaching!

Home Teeth Whitening

Our effective Teeth whitening also available from just £275.00

Home Whitening System Can Whiten Your Teeth By Up To Eight Shades Feel Free To Ask One Of Our Dedicated Dentists For Details

Hygienist now open Saturdays and Sundays!

Before
Before
After
After
Before
Before
After
After

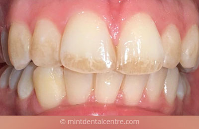
Severe Plaque build up treated with Hygiene and Air Jet Flow

Before
Before
After
After
Before
Before
After
After

Mild Staining treated with Air Jet Flow

Before
Before
After
After
FAQ’s

Visiting the hygienist on a regular basis is an essential part of maintaining good oral health. A qualified dental hygienist can provide a range of treatments to help keep your teeth and gums healthy. By having your plaque and tartar professionally removed, you can avoid the build-up of bacteria in hard-to-reach places which can cause cavities, gum disease and other conditions.

In addition to removing plaque and tartar, your hygienist can also brighten up your smile with scaling and polishing techniques. Plus, they can give you tailored advice on how to look after your teeth properly at home with the right diet and regime for maintaining good oral hygiene. By visiting a hygienist regularly you can ensure that your teeth remain healthy, clean and free from decay or disease.

The frequency of dental hygiene visits is based on individual needs and can vary from every 3 to 12 months. Discussing your unique oral health needs with your dentist or hygienist is important. If you have good oral health, preventative visits may be as infrequent as once a year. However, if you are prone to cavities or gum disease, more frequent cleanings may be recommended.

Your visit to the dental hygienist will usually start with an examination of your teeth and gums, followed by a professional cleaning. During the cleaning, your hygienist will use special tools to remove plaque and tartar that has built up on your teeth. This can help reduce the risk of decay, gum disease, and other oral health issues. After the cleaning, your hygienist may also polish your teeth and provide you with advice on how to keep your mouth healthy at home.

Dental hygienists are trained to perform a range of treatments including scaling and polishing, deep cleaning and root planing, fluoride treatments, and tartar control. They can also provide advice on how to brush and floss correctly, dietary recommendations, and preventative treatments such as sealants or mouthguard.

Good oral hygiene habits are essential to maintaining healthy teeth and gums. Brushing twice a day with fluoride toothpaste, flossing once a day and rinsing with mouthwash are all important parts of an effective dental health routine. Regular brushing removes plaque and food debris that can cause tooth decay and gum disease, while flossing between your teeth helps remove food particles that can get stuck in tight spaces which a toothbrush can't reach. Rinsing with an antiseptic mouthwash helps reduce bacteria levels in the mouth for fresh breath and also reduces the risk of gum disease.

Interdental brushes are designed to get into the tight spaces between your teeth and help remove plaque and food particles that can accumulate in these areas. Using an interdental brush regularly helps reduce the risk of cavities, gum disease, and bad breath. It's important to choose the right size for your teeth so it can effectively clean the hard-to-reach areas between your teeth.

One Stop for Expert Dental Hygiene in London

Expert Dental Hygienists

Our skilled dental hygienists can take care of your teeth and gums. They provide expert dental care, making your teeth and gums healthy and strong.

Complete Oral Health Care

We offer complete oral health care treatment, such as professional teeth cleaning, scaling, and polishing treatments or gum disease prevention treatments.

State-of-the-Art Cleaning Techniques

Using advanced dental technology and gentle methods, we make every hygiene appointment effective, comfortable, and reassuring.

Easily Accessible Location

Located in the heart of London, our clinic offers easy access and flexible appointment times, making quality dental care simple and stress-free.

Get a bright and healthy smile. Visit Mint Dental Centre or call 020 7587 0100 to book your appointment today.


Pursuing the highest standards, together

GDC
ADI
BACD
Nobel
BSCD
BSRD
BDA
CQC
BOS
Book an Appointment Back to Treatments

Connect with us

Address

Mint Dental Centre
41 Clapham Road, Oval
London SW9 0JD

Opening Hours

Monday to Friday 8.00 am to 5.30 pm

Saturday 9.00 am to 4.00 pm

Sunday by prior arrangement

Please note private appointments can also be made by arrangement out of hours.

Elevate your smile with Mint Dental Centre
CALL US: 020 7587 0100
    |     BOOK ONLINE
WhatsApp