Mint Dental Centre, 41 Clapham Road, Oval, London SW9 0JD

Smile Gallery

Smile Makeovers
Before
Before
After
After
Before
Before
After
After

Invisalign, whitening and bonding.

Before
Before
After
After
Before
Before
After
After

Invisalign, whitening and bonding.

Composite Bonding
Bonding

6 direct composite restoration and zirconia crown in lower right premolar

Bonding

2 composite fillings in front teeth

Before
Before
After
After

Chipped tooth repaired in 1 session with composite

Before
Before
After
After

2 direct composite restorations done in 1 session

Before
Before
After
After

Internal and external whitening and 2 direct composite bonding done in 2 front teeth in 1 session

Before
Before
After
After

Worn down dentition restored with one session edge composite bonding

Before
Before
After
After

Home whitening followed by composite bonding in 4 teeth completed in 1 session

Before
Before
After
After

Patient had trauma and fractured his 2 front teeth. Restored in one session with direct composite

Before
Before
After
After

Teeth Whitening, Composite Bondings on 2 teeth

Composite Bondings were used to enhance the appearance of this patient’s chipped front teeth following some Teeth Whiteing

Before
Before
After
After

Teeth Whitening, Composite Bondings

This patient did not like the gap between her front teeth. In one appointment the gap was closed using composite bondings

Before
Before
After
After

Teeth Whitening, Composite Bondings

Composite Edge Bonding gave a neat fix to these 4 chipped front teeth

Before
Before
After
After

4 Composite Veneers restored this patients front teeth

Before
Before
After
After

Internal+External Teeth Whitening, Composite Bondings

Internal teeth whitening was carried out to liftf the shade of 2 old Root Canal Treated teeth. Composite Bondings were then used to balance this patients smile.

Before
Before
After
After

This old composite bonding was replaced leaving the tooth looking as good as new

Before
Before
After
After

6 Composite Edge Bondings were used to restore this patient’s chipped front teeth

Before
Before
After
After

This smile was created following an Align, Whitening and Bonding journey.
(Invisalign, Composite Bondings)

Before Before
After After
Before Before
After After
Before
Before
After
After
Before
Before
After
After

Invisalign, whitening and bonding.

Invisalign

Invisalign and Composite Bonding

Before After
Before After
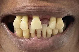
Dental Implants
Before
Before
After
After
Before
Before
After
After
Before
After
After
After
Before
After
After
After
Porcelain Veneers
Before After
White Fillings
Before
Before
After
After
Full Mouth Rehabilitation
Before
Before
After
After
Dental Hygiene
Before
Before
After
After
Before
Before
After
After
Before
Before
After
After
Before
Before
After
After
Before
Before
After
After
Before
Before
After
After
Before
Before
After
After
Before
Before
After
After
Before
Before
After
After
Before
Before
After
After

Pursuing the highest standards, together

GDC
ADI
BACD
Nobel
BSCD
BSRD
BDA
CQC
BOS

Connect with us

Address

Mint Dental Centre
41 Clapham Road, Oval
London SW9 0JD

Opening Hours

Monday to Friday 8.00 am to 5.30 pm

Saturday 9.00 am to 4.00 pm

Sunday by prior arrangement

Please note private appointments can also be made by arrangement out of hours.

Elevate your smile with Mint Dental Centre
CALL US: 020 7587 0100
    |     BOOK ONLINE
WhatsApp